Опухоль прорастает в кожу, органы, сосуды, нервы и кости, при этом разрушая их
Когда я спрашиваю Наталью, маму Влада, что за эти 18 лет было для нее самым страшным, она вспоминает многое. И слова доктора на третьи сутки после рождения Владика: «У ребенка онкология». И беспомощность хирургов в Иркутске, которые говорили: «Мы не знаем, как это лечить». И приговор врачей в Москве: «Опухоль растет слишком быстро. Нужна ампутация». А Влад? Влад говорит, что самым страшным было расстраивать маму: «Она очень переживает из-за меня». Влад хороший мальчик. Серьезный, общительный, умный. И свою болезнь он воспринимает как мучение прежде всего не для себя, а для родных – отца и матери. Особенно жалко маму, конечно.
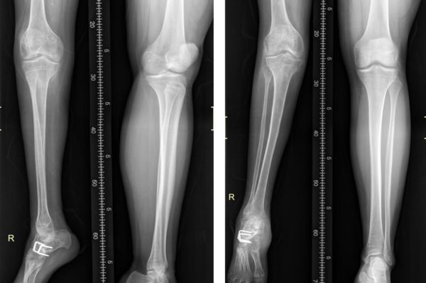
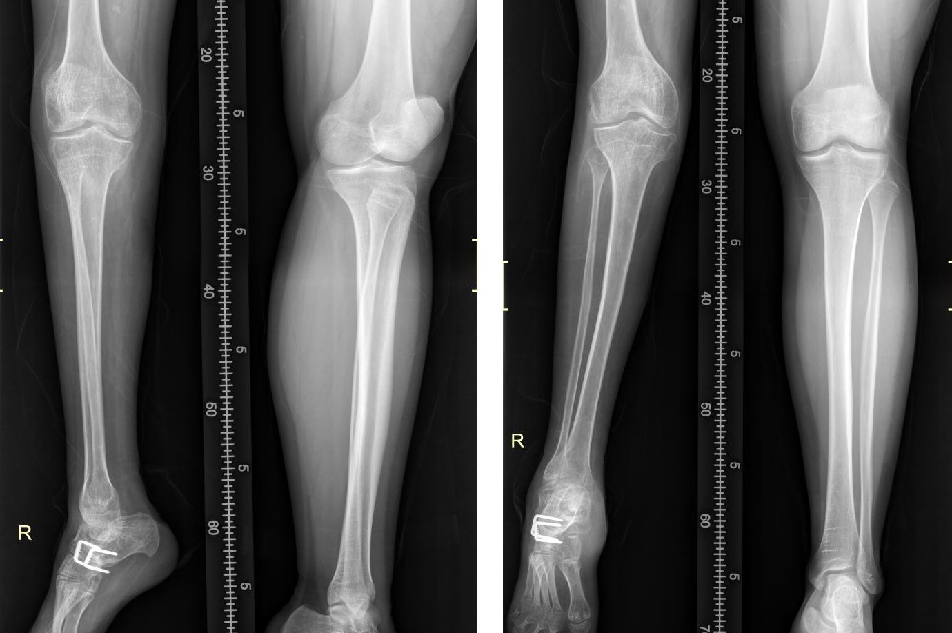
Опухоль на голени у Влада обнаружили еще в роддоме, в Иркутске. Первая операция была, когда Владику едва исполнилось 9 месяцев. А повторная понадобилась уже через месяц – опухоль выросла снова. Тогда же поставили диагноз – агрессивный фиброматоз. Фиброма – та самая доброкачественная опухоль, которая ничуть не лучше злокачественной. Во-первых, из-за крайне агрессивного характера: опухоль прорастает в кожу, органы, сосуды, нервы и кости очень быстро, при этом разрушая их. Во-вторых, удалить опухоль полностью практически невозможно – нет единого очага, а опухолевых узлов очень много.
Врачи так и сказали Наталье: «Болезнь у вашего сына очень редкая, не поддается лечению и терапии». В два года Владу удалили мышцу голени, в которую проросла опухоль.
Когда ему исполнилось четыре, в больнице к Наталье вышла заведующая и сказала: «Больше операции мы делать не будем, мальчика спасет только ампутация ноги».
Наталья тогда не поверила, что ампутация – единственный выход, и добилась квоты в Москву, в Российскую детскую клиническую больницу.
В Москве диагноз подтвердили, но все же взялись лечить и лечили до 8 лет. Пробовали все: химиотерапию, лучевую терапию. Опухоль увеличилась до 20 см, разрослась до бедра, собираясь двигаться дальше, вверх по телу. Нога Влада постоянно была согнута в колене под прямым углом из-за давления опухоли, а после лучевой терапии с гипертермией (нагревом участка с опухолью свыше 39,5°С) правая нога вовсе перестала расти. В общем, лечение не помогло.
Все знакомые Влада из немецкой клиники уже умерли
Однажды врач пригласил Наталью на разговор и снова произнес слово «ампутация»: «Если мы радикально не избавимся от опухоли, она проникнет дальше, и тут уже и ампутация не поможет. Думайте, у вас три дня».
Наталья вспоминает, как вышла из кабинета врача, как, словно в тумане, шла по коридору больницы, как проплакала всю ночь, так ничего и не решив. В голове крутилось: «Как согласиться на ампутацию?! Как сын будет без ноги?» А на следующий день в больнице к ней подошла сотрудница фонда «Жизнь» и предложила попробовать спасти ногу Влада в Германии.
В Мюнхене мальчика прооперировали, полностью удалив опухоль. Операция была в три этапа. Последним этапом врачи, уже отказавшись от гонораров, так как деньги от фонда «Жизнь» закончились, сделали Владу ахиллопластику, устранив неправильную постановку стопы. Три года после операции Влад наблюдался в Германии. У него появились друзья, он окреп, повеселел, перестал стесняться.
Но когда я спрашиваю, общается ли Влад с друзьями из немецкой онкологической клиники сегодня, он отвечает:
– Нет.
– Почему?
– Потому что все они умерли.
Приехав в Германию на очередное обследование, Влад отправился навестить друзей уже на кладбище.
Владу тяжело вспоминать то время, но все же он почти никогда не отчаивался, продолжал бороться с болезнью, да еще и родителей подбадривал: «Я выдержу, мы победим!» Только однажды, вспоминает Наталья, в 15 лет у него была депрессия. Тогда мама с отцом ее вовремя «поймали» – нашли для Влада спортивного тренера. Теперь дважды в неделю Влад ходит на занятия, накачал руки и плечи, а главное – почувствовал уверенность в себе, поверил в свои силы.
В России операцию, которая нужна Владу, не делают
После Германии снова начались проблемы – сказались последствия той высокодозной лучевой терапии. Влад рос, а нога нет. Сначала она стала короче левой на пару сантиметров, потом на 7, сегодня – на 8. Владу нужна еще одна операция, и снова наисложнейшая, в России ее не делают. Прооперировать Влада могут в израильской клинике «Ассута». Операция будет вестись одновременно на трех участках ноги: Владу просверлят коленную чашечку, вставят в нее специальный гвоздь, который делается на заказ, и введут гвоздь в бедро.
В бедре сделают искусственный перелом, рассекут кость и вставят магниты. Так, по миллиметру в день, кость будет наращиваться, и нога вытягиваться. Одновременно выпрямят колено и вставят в него титановую пластину. А в стопе проведут ахиллопластику, вживив в нее мышцу из бедра – сегодня Влад почти не чувствует пальцев правой ноги. Еще полгода восстановительный период, а потом… потом наконец Влад встанет на ноги и сделает первый шаг. Впервые за 18 лет.
Это будет чудо, конечно. Которое можем сотворить для Влада мы, все вместе. Наталья не работает, Сергей работает логистом в Иркутске – направляет грузовой транспорт на Север. Денег на операцию у них нет, и никогда не будет – сумма огромная, 4 миллиона рублей. От нас с вами зависит, будет ли Влад ходить.
Мама часто беседует с Владом, как она говорит, «на духовные темы»: что в жизни многое достается через страдания, что важно уметь ждать. И просит его: «Сыночек, потерпи. Надо держаться, иначе все зря». И Влад держится. Он верит, что все было не зря. Верит нам. Помогите Владу!




